Archivo:Tumor-intracraneal.png
Tamaño de esta previsualización: 598 × 600 píxeles. Otras resoluciones: 239 × 240 píxeles | 663 × 665 píxeles.
Archivo original (663 × 665 píxeles; tamaño de archivo: 272 KB; tipo MIME: image/png)
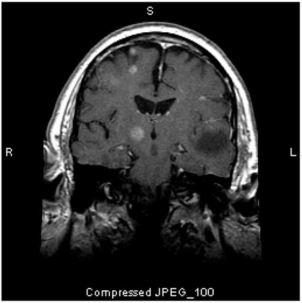
Esta RM muestra múltiples lesiones cerebrales, que representan tumores metastásicos. Más del 80% de las metástasis cerebrales son múltiples.
Imagen cortesía de William R. Shapiro, MD.
Historial del archivo
Haz clic sobre una fecha/hora para ver el archivo a esa fecha.
| Fecha y hora | Miniatura | Dimensiones | Usuario | Comentario | |
|---|---|---|---|---|---|
| actual | 17:28 20 jul 2022 | 663 × 665 (272 KB) | Admisys (discusión | contribuciones) |
- No puedes sobrescribir este archivo.
Usos del archivo
La siguiente página enlaza a este archivo: